Skip to content Skip to sidebar Skip to footer

Chronic Lung Disease Of Prematurity

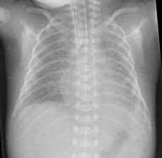
Respiratory Distress Syndrome And Chronic Lung Disease Of Prematurity Radiology Case Radiopaedia Org

Respiratory Distress Syndrome And Chronic Lung Disease Of Prematurity Radiology Case Radiopaedia Org

Chronic lung disease of prematurity. Obstructive spirometry with some acute bronchodilator reversibility is common after premature birth including in late preterm delivery. Diuretics and corticosteroids are effective in achieving short-term improvement in the status of ventilator dependent babies. Chronic pelvic inflammatory disease of the female pelvic organs andor tissues.

Chronic female pelvic abscess. Bronchopulmonary dysplasia BPD is a breathing disorder where an infants lungs become irritated and do not develop normally. 40 The Avon Longitudinal Study of Parents and Children reported that children born at 3334weeks gestation had impaired childhood lung function comparable to children born 2532weeks and who required mechanical ventilation.

Most babies who now develop chronic lung disease have a birth weight below 1000 g and have only mild early respiratory disease requiring minimal ventilation and low concentrations of inspired oxygen. Advances in both perinatal and neonatal care over the past two decades have improved the survival of very preterm births but morbidity is significant among the survivors1 2 3 Chronic lung disease of prematurity CLD often also called bronchopulmonary dysplasia BPD is one of the most common sequelae in preterm births. Chronic lung disease of prematurity CLDP is also known as bronchopulmonary dysplasia.

Chronic female pelvic cellulitis. It occurs most often in low-weight infants born more than two months early. Chronic lung disease of prematurity CLD is commonly considered to be a consequence of assisted ventilation.

Chronic lung disease of prematurity. Bronchopulmonary dysplasia is also known as. Chronic respiratory morbidity is a common adverse outcome of preterm birth especially in infants who develop bronchopulmonary dysplasia BPD which is still a major cause of long-term lung dysfunction with a heavy burden on health care services and medical resources throughout.

Chronic lung disease is defined as oxygen dependency at 36 weeks corrected gestational age. Since 1998 the management of CLD after discharge from neonatal unit follows national guidelines. It can occur when babies are born prematurely and need respiratory.

Bronchopulmonary dysplasia has become the most common chronic lung disease of infancy. Bronchopulmonary dysplasia brahn-ko-PUL-moh-nair-ee dis-PLAY-zhee-uh involves abnormal development of lung tissue.

Chronic Lung Disease After Premature Birth Nejm

Chronic Lung Disease After Premature Birth Nejm

Diagnosis Of Chronic Lung Disease In Premature Babies

Diagnosis Of Chronic Lung Disease In Premature Babies

Respiratory Distress Syndrome And Chronic Lung Disease Of Prematurity Radiology Case Radiopaedia Org

Respiratory Distress Syndrome And Chronic Lung Disease Of Prematurity Radiology Case Radiopaedia Org

7 Bronchopulmonary Dysplasia Ideas Bronchopulmonary Dysplasia Lung Disease Chronic Lung Disease

7 Bronchopulmonary Dysplasia Ideas Bronchopulmonary Dysplasia Lung Disease Chronic Lung Disease

Microbial Infection And Inflammation In The Development Of Chronic Lung Disease Of Prematurity Sciencedirect

Microbial Infection And Inflammation In The Development Of Chronic Lung Disease Of Prematurity Sciencedirect

Bronchopulmonary Dysplasia Wikipedia

Bronchopulmonary Dysplasia Wikipedia

Bronchopulmonary Dysplasia A Review Of Pathogenesis And Pathophysiology Respiratory Medicine

Bronchopulmonary Dysplasia A Review Of Pathogenesis And Pathophysiology Respiratory Medicine

Chronic Lung Disease After Premature Birth Nejm

Chronic Lung Disease After Premature Birth Nejm

9 Healthy Baby Ideas Healthy Babies Chronic Lung Disease Bronchopulmonary Dysplasia

9 Healthy Baby Ideas Healthy Babies Chronic Lung Disease Bronchopulmonary Dysplasia

Long Term Respiratory Outcomes Following Preterm Birth Sciencedirect

Long Term Respiratory Outcomes Following Preterm Birth Sciencedirect

Bronchopulmonary Dysplasia New Becomes Old Again Pediatric Research

Bronchopulmonary Dysplasia New Becomes Old Again Pediatric Research

Treatment Of Breathing Problems In Premature Babies

Treatment Of Breathing Problems In Premature Babies

Epos Trade

Epos Trade

Growth Failure Associated With Preterm Delivery Is Com Pounded By Download Table

Growth Failure Associated With Preterm Delivery Is Com Pounded By Download Table

Fig 10 2 A Former 32 Week Gestation Now Diseases Of The Chest Breast Heart And Vessels 2019 2022 Ncbi Bookshelf

Fig 10 2 A Former 32 Week Gestation Now Diseases Of The Chest Breast Heart And Vessels 2019 2022 Ncbi Bookshelf

Bronchopulmonary Dysplasia

Bronchopulmonary Dysplasia

Reducing The Incidence Of Chronic Lung Disease In Very Premature Infa

Reducing The Incidence Of Chronic Lung Disease In Very Premature Infa

Postnatal Infections And Immunology Affecting Chronic Lung Disease Of Prematurity Clinics In Perinatology

Postnatal Infections And Immunology Affecting Chronic Lung Disease Of Prematurity Clinics In Perinatology

Bronchopulmonary Dysplasia Bpd Pediatrics Msd Manual Professional Edition

Bronchopulmonary Dysplasia Bpd Pediatrics Msd Manual Professional Edition

Jcm Free Full Text Bronchopulmonary Dysplasia Chronic Lung Disease Of Infancy And Long Term Pulmonary Outcomes Html

Jcm Free Full Text Bronchopulmonary Dysplasia Chronic Lung Disease Of Infancy And Long Term Pulmonary Outcomes Html

Chronic Lung Disease Cld In Premature Infants

Chronic Lung Disease Cld In Premature Infants

Pdf Management Of Infants With Chronic Lung Disease Of Prematurity In Australasia Fernando Garduno Martinez Academia Edu

Pdf Management Of Infants With Chronic Lung Disease Of Prematurity In Australasia Fernando Garduno Martinez Academia Edu

Bronchopulmonary Dysplasia In The Premature Infant

Bronchopulmonary Dysplasia In The Premature Infant

1

1

Neonatal Dexamethasone Treatment For Chronic Lung Disease Of Prematurity Alters The Hypothalamus Pituitary Adrenal Axis And Immune System Activity At School Age American Academy Of Pediatrics

Neonatal Dexamethasone Treatment For Chronic Lung Disease Of Prematurity Alters The Hypothalamus Pituitary Adrenal Axis And Immune System Activity At School Age American Academy Of Pediatrics

Table 1 From Atypical Chronic Lung Disease In Preterm Infants Semantic Scholar

Table 1 From Atypical Chronic Lung Disease In Preterm Infants Semantic Scholar

Learningradiology Bronchopulmonary Dysplasia Bpd Chronic Lung Disease Infancy Immature Radiology

Learningradiology Bronchopulmonary Dysplasia Bpd Chronic Lung Disease Infancy Immature Radiology

Bronchopulmonary Dysplasia A Multidisciplinary Approach To Management Springerlink

Bronchopulmonary Dysplasia A Multidisciplinary Approach To Management Springerlink

Chronic Lung Disease In Premature Babies

Chronic Lung Disease In Premature Babies

Updates On Neonatal Chronic Lung Disease Sciencedirect

Updates On Neonatal Chronic Lung Disease Sciencedirect

Study Protocol Azithromycin Therapy For Chronic Lung Disease Of Prematurity Aztec A Randomised Placebo Controlled Trial Of Azithromycin For The Prevention Of Chronic Lung Disease Of Prematurity In Preterm Infants Bmj

Study Protocol Azithromycin Therapy For Chronic Lung Disease Of Prematurity Aztec A Randomised Placebo Controlled Trial Of Azithromycin For The Prevention Of Chronic Lung Disease Of Prematurity In Preterm Infants Bmj

Pdf Diuretics And Chronic Lung Disease Of Prematurity

Pdf Diuretics And Chronic Lung Disease Of Prematurity

Pdf Study Protocol Azithromycin Therapy For Chronic Lung Disease Of Prematurity Aztec A Randomised Placebo Controlled Trial Of Azithromycin For The Prevention Of Chronic Lung Disease Of Prematurity In Preterm Infants

Pdf Study Protocol Azithromycin Therapy For Chronic Lung Disease Of Prematurity Aztec A Randomised Placebo Controlled Trial Of Azithromycin For The Prevention Of Chronic Lung Disease Of Prematurity In Preterm Infants

Figure 1 From Pathogenesis Of Bronchopulmonary Dysplasia When Inflammation Meets Organ Development Semantic Scholar

Figure 1 From Pathogenesis Of Bronchopulmonary Dysplasia When Inflammation Meets Organ Development Semantic Scholar

Chronic Lung Disease After Premature Birth Nejm

Chronic Lung Disease After Premature Birth Nejm

Pediatric Imaging Na Twitteru Chronic Lung Disease Etiology Premature Infants With Rds Who Are Chronically Ventilated For Than 30 Days Imaging Normally Expanded Lungs With Interstitial Scaring Cxr Findings

Pediatric Imaging Na Twitteru Chronic Lung Disease Etiology Premature Infants With Rds Who Are Chronically Ventilated For Than 30 Days Imaging Normally Expanded Lungs With Interstitial Scaring Cxr Findings

Pulmonary Hypertension Associated With Acute Or Chronic Lung Diseases In The Preterm And Term Neonate And Infant The European Paediatric Pulmonary Vascular Disease Network Endorsed By Ishlt And Dgpk Heart

Pulmonary Hypertension Associated With Acute Or Chronic Lung Diseases In The Preterm And Term Neonate And Infant The European Paediatric Pulmonary Vascular Disease Network Endorsed By Ishlt And Dgpk Heart

Pdf Evolution And Sequelae Of Acquired Lobar Emphysema In A Premature Infant With Chronic Lung Disease

Pdf Evolution And Sequelae Of Acquired Lobar Emphysema In A Premature Infant With Chronic Lung Disease

Pdf Prediction Of Early Outcome In Resolving Chronic Lung Disease Of Prematurity After Discharge From Hospital

Pdf Prediction Of Early Outcome In Resolving Chronic Lung Disease Of Prematurity After Discharge From Hospital

New Treatment Could Reduce Chronic Lung Disease In Premature Babies

New Treatment Could Reduce Chronic Lung Disease In Premature Babies

Pdf Controversies In The Management Of Respiratory Distress Syndrome In Premature Neonates

Pdf Controversies In The Management Of Respiratory Distress Syndrome In Premature Neonates

Mri Identifies Chronic Lung Disease In Premature Babies Pioneering Minds

Mri Identifies Chronic Lung Disease In Premature Babies Pioneering Minds

Chronic Lung Disease After Premature Birth Nejm

Chronic Lung Disease After Premature Birth Nejm

Https Computerprojects Biz Photography Chronic Lung Disease Of Prematurity Treatment

Https Computerprojects Biz Photography Chronic Lung Disease Of Prematurity Treatment

Chronic Lung Disease In Children Ppt Download

Chronic Lung Disease In Children Ppt Download

Pdf Bronchopulmonary Dysplasia Chronic Lung Disease Of Infancy And Long Term Pulmonary Outcomes

Pdf Bronchopulmonary Dysplasia Chronic Lung Disease Of Infancy And Long Term Pulmonary Outcomes

Bronchopulmonary Dysplasia Nature Reviews Disease Primers

Bronchopulmonary Dysplasia Nature Reviews Disease Primers

Bronchopulmonary Dysplasia Radiology Reference Article Radiopaedia Org

Bronchopulmonary Dysplasia Radiology Reference Article Radiopaedia Org

1

1

Any condition in N730 specified as chronic.

Pelvic inflammatory disease chronic. However prior to the description in 1967 of bronchopulmonary dysplasia BPD following ventilator therapy for respiratory distress syndrome Wilson-Mikity syndrome WMS had been described in very preterm infants on minimal oxygen supplementation. Bronchopulmonary dysplasia is also known as. Most babies who now develop chronic lung disease have a birth weight below 1000 g and have only mild early respiratory disease requiring minimal ventilation and low concentrations of inspired oxygen. Its incidence varies from 10 to 60 in different regions of Chile. Chronic lung disease is defined as oxygen dependency at 36 weeks corrected gestational age. Diuretics and corticosteroids are effective in achieving short-term improvement in the status of ventilator dependent babies. Advances in both perinatal and neonatal care over the past two decades have improved the survival of very preterm births but morbidity is significant among the survivors1 2 3 Chronic lung disease of prematurity CLD often also called bronchopulmonary dysplasia BPD is one of the most common sequelae in preterm births. Bronchopulmonary dysplasia BPD is a chronic lung disease most commonly seen in premature infants who required mechanical ventilation and oxygen therapy for acute respiratory distress but can also occur in neonates that had a less severe respiratory course 13.


Most babies who now develop chronic lung disease have a birth weight below 1000 g and have only mild early respiratory disease requiring minimal ventilation and low concentrations of inspired oxygen. Day-to-day care is mostly directed towards improving symptoms with many common interventions. Bronchopulmonary dysplasia is a serious complication of prematurity resulting from poor lung growth and lung injury. However prior to the description in 1967 of bronchopulmonary dysplasia BPD following ventilator therapy for respiratory distress syndrome WilsonMikity syndrome WMS had been described in very preterm infants on minimal oxygen. Chronic lung disease is defined as oxygen dependency at 36 weeks corrected gestational age. Dysplasia means abnormal changes in the. Chronic Neonatal Lung Disease Bronchopulmonary dysplasia BPD first described in 1967 by Northway Defined as O 2 dependence at 28 days post birth Now termed old BPD Post-surfactant era new BPD arrest at the canalicular phase of lung development Definition changed in 1988 to O 2 dependence at 36 wks Incidence of BPD.

Post a Comment for "Chronic Lung Disease Of Prematurity"